Блог

Венозний порт при хіміотерапії: навіщо він потрібен і чому це стандарт лікування.

«Навіщо мені порт? Я якось обійдусь без нього» — це одна з найпоширеніших реакцій пацієнтів, яким вперше призначають хіміотерапію. Найчастіше...

Історії пацієнтів

Це історія, яку неможливо забути. Молодий чоловік. Велика пухлина тазової кістки. Складна локалізація, високий ризик та мінімум шансів на просте...

Ревізійне ендопротезування колінного суглоба: практичний досвід та сучасні 3D-технології

Відвідав кадавр-курс з ревізійного ендопротезування колінного суглоба з використанням індивідуальних 3D-рішень, що відбувся на базі Інституту патології хребта та суглобів...

Історії пацієнтів

Пацієнтка звернулася з утворенням у ділянці шиї, яке поступово збільшувалося. За результатами обстеження – саркома м’яких тканин низького ступеня злоякісності....

Історії пацієнтів

Пацієнтка звернулася з місцевим рецидивом після попереднього лікування в іншій клініці. Виконано радикальне хірургічне видалення пухлини з дотриманням онкологічних принципів....

Історії пацієнтів

Міксофібросаркома належить до сарком м’яких тканин із високим ризиком місцевих рецидивів. Саме тому ключовим є радикальне хірургічне втручання з чітким...

Історії пацієнтів

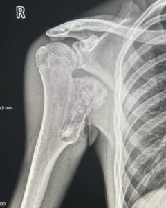
Клінічний випадок. Пацієнт звернувся до нас зі скаргами на утворення у верхній третині плеча, яке заважало притиснути руку до тулуба,...

Історії пацієнтів

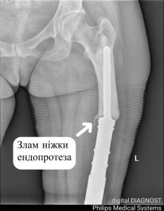
Ревізійне протезування. Наша пацієнтка раніше пройшла складне комбіноване лікування остеосаркоми, під час якого було виконано ендопротезування колінного суглоба та значної...

Історії пацієнтів

Ревізійне ендопротезування. Клінічний випадок. Ревізійне ендопротезування по праву вважається складнішим за первинне хірургічне втручання. Його проведення ускладнюється рубцевими змінами після...

Історії пацієнтів

Саркома м’яких тканин. Рецидив. Хірургічне лікування. Пацієнтка раніше проходила лікування з приводу саркоми м’яких тканин. Було проведено курс променевої терапії...