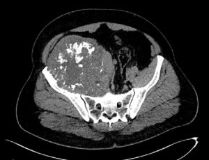
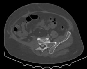
Це історія, яку неможливо забути. Молодий чоловік. Велика пухлина тазової кістки. Складна локалізація, високий ризик та мінімум шансів на просте рішення. Було проведено складну операцію – радикальне видалення пухлини з реконструкцією тазу за допомогою індивідуального 3D-друкованого імпланта. Це був шанс зберегти рух та якість життя. Через 10 місяців виникло інфікування. Довелося видалити імплант разом із кінцівкою. Але ця історія не про поразку. Пацієнт повернувся до активного життя, керує автомобілем і зараз проходить підготовку до екзопротезування. Онкохірургія – це не завжди про ідеальний сценарій, але завжди про можливість вибороти життя і рухатись далі. 


© Powered by Stas Shok Git